Всеукраїнський загальнополітичний освітянський тижневик
Персонал Плюс - всеукраїнський тижневик

Сучасні методи протезування зубів

Навіть якщо ви втратили хоч один зуб, варто задуматися про те, як відновити цілісність зубного ряду. Здавалося б, що може трапитися, якщо в роті, наприклад, бракує лише однієї шістки? Адже можна жувати тими зубами, що залишилися, та й при посмішці такий дефект не видно.

Справа в тому, що відсутність навіть одного зуба негативно позначається як на роботі ваших щелеп, так і на стані загального здоров'я. Якщо вчасно не відновити втрачений зуб, його сусіди почнуть зміщуватися в бік звільнився місця. Результатом можуть стати різні проблеми з прикусом, які вирішуються не за один візит до стоматолога, а вимагають тривалого лікування.

Крім того, можуть виникнути проблеми з скронево-щелепним суглобом, також в таких випадках часто запалюються околозубні тканини. При тривалій відсутності одного або декількох зубів може розвиватися атрофія кісткової тканини.

Новації в технології протезування

Самі новітні методики на даний період часу - це проектування і моделювання зубних протезів за допомогою комп'ютера.  Така робота повністю автоматизована і виключає можливість помилки в розрахунках.

Технологічний процес дозволяє максимально точно розробити і створити віртуальну модель протеза, що ідеально підходить пацієнту. 3D-проекції показують положення поруч віртуальних зубів, що стоять і розташовані на протилежній щелепі, при цьому враховується і можлива майбутня атрофія, потенційний процес осідання і інші тонкощі носіння зубних протезів.

макет зубного протезу

За допомогою віртуальної моделі виготовляються спеціальні вкладки, зубні коронки і мости на основі високоякісних неалергенних матеріалів - діоксиду цирконію, алюмінію і титану. Беручи до уваги велике фізичне навантаження в ротовій порожнині, фортеця сплавів для виробництва протезів надзвичайно важлива: зуби піддаються навантаженням жувальних рухів і пошкоджень від слини і продуктів харчування.

Механіка пережовування їжі в роті - це дуже складний процес, жування здійснюється шляхом скорочення мускулатури і напругою пародонту, що істотно змінюється при аномаліях / патологіях зубощелепної системи.

При наявності зубних протезів фізичне напруження і навантаження можуть посилюватися на різні області зубних рядів. А якщо брати до уваги, що за рік людина робить півмільйона жувальних рухів, то можна уявити, в якій напруженій експлуатації знаходяться зуби. Сучасне протезування зубів дозволяє проектувати і встановлювати особливо міцні зубні протези, що не відрізняються за якістю, а багато в чому навіть перевершують натуральні - здорові зуби.

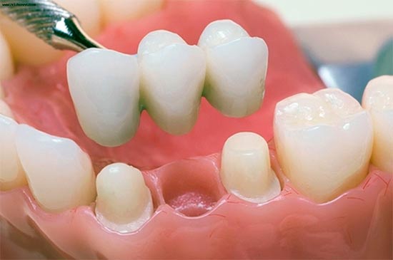
зубний протез

Методи протезування в стоматології

Сучасні методи протезування зубів в стоматологічній клініці kristal-estet.com дають можливість відновлювати як один зуб, так і всю щелепу на високому рівні естетики і комфорту для пацієнта. Залежно від того, скільки зубів втрачено, а також від індивідуальних особливостей, лікар підбирає метод протезування:

  1. Збереглася частина зуба або його корінь.
  2. Втрачено один або кілька зубів.
  3. Відсутні всі зуби на одній або ж на обох щелепах.

У сучасній стоматології існує кілька видів протезування зубів:

  1. Знімні конструкції використовуються найчастіше для відновлення всієї щелепи і кріпляться за допомогою ефекту присмоктування (протези на присосках).
  2. Незнімні вироби застосовуються для відтворення зруйнованих зубів, їх не можна самостійно зняти без допомоги фахівця.
  3. Частково знімні протези застосовуються в тих випадках, коли в ротовій порожнині ще збереглися живі зуби. Вони дозволяють виправити багато дефектів зубного ряду, відтворити його цілісність і повернути людині впевненість в собі.
  4. Особливе місце в стоматології займає мікропротезування (це незнімні міні-протези), що дозволяє відновити навіть самі зруйновані зуби, від яких залишилася лише невелика частина або ж тільки корінь.
  5. Імплантація відноситься до незнімних протезів, на сьогоднішній день це найнадійніший метод відновлення втрачених зубів.

Для нормального функціонування всіх життєво важливих функцій людини необхідно в першу чергу мати здорові зуби. Як фізична, так і психічна рівновага індивідуума безпосередньо пов'язана з наявністю зубів. Зуби відповідають за правильне і ретельне пережовування їжі, чітку мову та естетику особи.  Саме тому стоматологічне протезування існує з давніх часів. Раніше ортопедичні операції неможливо було уявити без больових відчуттів і незручних конструкцій в ротовій порожнині. Сьогодні ситуація змінилася - новітні сучасні технології дозволяють зробити стоматологічні маніпуляції безболісно, а штучні зуби неможливо відрізнити від оригіналу.

вгору

© «ПЕРСОНАЛ ПЛЮС». Усі права застережено.

Передрук матеріалів тільки за згодою редакції.
При розміщенні матеріалів в Інтернет обов’язкове посилання на сайт видання. Погляди авторів можуть незбігатися з позицією редакції

З усіх питань звертайтеся, будь ласка, gazetapplus@gmail.com